
Precision imaging. Trusted experts. Faster diagnostics.

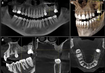
CBCT is a specialized type of X-ray technology that generates 3D images of your teeth, jaws, and facial structures with remarkable clarity.
Breakdown of how CBCT scanning works from start to finish.

See intricate anatomical structures, bone density, and pathology with unparalleled clarity.
Supports accurate implant placement, impacted tooth removal, and complex endodontic procedures.
Advanced CBCT protocols deliver lower radiation doses than traditional CT scans.
Future-ready with Vi.AI—our upcoming AI engine to assist with detection and annotation of CBCT scans.
Locate and schedule scans easily across certified partner centres through our digital platform.
Receive radiology reports in under 24 hours, integrated directly with your clinical workflow.